24岁年轻人多器官罢工,“三名”专家团“操刀”,“心门”能修不换
一位24岁的年轻人
在经历多器官栓塞的生死考验后
因为一场突破性的微创心脏手术
重新燃起了生命曙光
近日,香港大学深圳医院心血管医学中心-心脏大血管外科(心外科)联合多学科团队,在“三名工程”顶尖专家指导下,成功为复杂重症患者实施高难度微创瓣膜修复术,开创大湾区感染性心内膜炎合并多系统栓塞治疗新范式。
罕见重症危及生命
多学科会诊“破局”
年轻的小官(化名)因为多次发生高热、多器官梗死,辗转前往多家医院治疗。
不幸的是,他最终被确诊为“感染性心内膜炎合并颅内多发性脑梗死、肾梗死导致等多器官栓塞危象”,住进了港大深圳医院心脏大血管外科病房。
多发性脑梗死已导致小官一侧眼睛偏盲,传统的开胸换瓣手术虽然可以解决心脏问题,但需要进行终生的抗凝治疗。
对于这位年轻的患者而言,时刻伴随着出血风险,而且生活质量将严重下降。

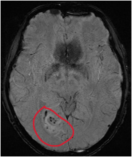
脑部多发梗塞出血灶
正值此际,国内心血管外科领域顶尖专家、复旦大学附属中山医院王春生教授赴广州开展学术交流。
在了解到小官病情后,王春生教授专程来到深圳,与心外科魏民新教授团队联合神经内科、感染科、医学影像部、麻醉医学部等多学科专家会诊,全面评估手术风险。
5cm小切口
精准修复“心门”
5月中旬,凭借丰富的微创瓣膜修复经验,王春生教授与魏民新教授团队密切配合,仅在小官右前外侧肋间开了一个5cm的微创小切口,精准修复了病变瓣膜,并清除了周围赘生物。
此次手术突破了传统劈开胸骨术式的局限,并避免了植入人工瓣膜。
术后,小官心功能显著改善,神经与感染症状同步控制,目前已转入康复阶段;微创技术的优势显而易见——创伤小、恢复快。
令人振奋的是,这位年轻人无需长期服用华法林,有望完全恢复回归到正常的生活。
“三名专家团”操刀
“心门”能修不换
王春生教授表示,75%感染性心内膜炎二尖瓣病变的患者可以通过修复的手术方式得到良好的治疗。
本案例的成功不仅是技术层面的突破,更是医疗资源精准下沉的典范。
作为深圳“医疗卫生三名工程”重点引进团队,港大深圳医院通过与顶尖医疗团队的常态化协作,已构建起“疑难重症即时响应-顶级专家远程会诊-关键技术现场攻关”的“链条式”诊疗体系。
此次手术中运用的微创瓣膜修复技术,将作为标准化术式在深圳推广。未来,更多疑难心脏病患者将在“家门口”获得高水准的医疗服务。

从命悬一线到重获新生
小官先生的案例
诠释着现代医学的温度与精度
当微创技术遇上多学科智慧
当顶尖医疗资源突破地域壁垒
生命的奇迹正在被不断书写
医院将持续深化"三名工程"建设
以技术创新为引擎
以患者需求为导向
为守护湾区百姓心血管健康
构筑坚实屏障
国际医疗中心 心脏大血管外科
可通过以下方式咨询:
• 电话:0755-86913388
• 扫码添加企业微信:


微信公众号
智慧医院



