左胸的滑溜“肉球”,竟在右胸开刀取出!?究竟是“谜之操作”还是“神来之笔”?
今年初,原本身体不错的深圳打工人小林(化名)开始反复咳嗽,感觉不适。
起初,她并没有特别在意,但随着症状越来越严重,并逐渐出现气短不适,开始感觉连呼吸都变得困难了。
在家人陪同下,小林急忙前往香港大学深圳医院就诊,入住了呼吸内科。
01
滑溜“肉球”突现支气管,呼吸难难难!
医生在第一时间为她安排了支气管镜检查,发现小林的左主支气管近端长了一个肿物,外观宛如一个滑溜的“肉球”。
正是因为该肿物堵塞了左主支气管开口,阻碍了正常呼吸,才导致小林呼吸困难,此时极有可能出现窒息的风险。
考虑病情危急,为过渡性解决呼吸困难、防止出现紧急情况,呼吸内科在内镜下为小林切除了大部分肿物,缓解了呼吸困难症状。
随后的病理检查提示,这个滑溜的“肉球”原来是腺样囊性癌。

支气管镜下切除左主支气管肿物
由于这个“肉球”基底较宽,过渡性的内镜下切除仅仅只能缓解症状、解除生命“警报”,但仍存在肿瘤残留的情况,尚不能算根治性治疗。
术后,复查的气管镜及CT也证实了这一点,为进一步达到根治性治疗目的,小林被转入胸外科进行手术评估。
02
谜之操作?左胸“肉球”,右胸开刀取出!
气管肿瘤手术在胸外科领域堪称“天花板级别”的高难度手术。
因气管解剖特点决定的手术显露困难、气管手术麻醉管理复杂、气管吻合并发症等原因,气管手术风险大、死亡率高。
小林的气管肿物病变位于左主气管近端靠近隆突,此类案例极其罕见,文献报道寥寥无几。
由于这个位置周围存在心脏大血管、肺动脉、食管、迷走神经及喉返神经等重要结构,可谓“重重包围”。
如果采用常规的左侧入路,左主气管近端靠近隆突的部位手术显露将十分困难,相对其他位置的气管肿瘤,是所有气管肿瘤手术中最难显露及操作的一个解剖位置,可借鉴的案例资料有限,无任何固定“招数”。
为了顺利完成手术,外科部-胸外科团队与麻醉医学部陈友伟教授及许学兵主任、重症医学部周青山主任开展多次术前MDT讨论,最终决定采用一种创新的手术方法——
采用保留自主呼吸的麻醉方式,从右胸入路进行左主支气管的手术!

手术基本图解(图源:Ren J, Xu Y, Zhiyi G, Ren T, Ren J, Wang K, Luo Y, Zhu M, Tan Q. Reconstruction of the trachea and carina: Surgical reconstruction, autologous tissue transplantation, allograft transplantation, and bioengineering. Thorac Cancer. 2022 Feb;13(3):284-295.)
右胸入路的最大优势是避开了大动脉对左主支气管的遮挡,对隆突及左主支气管近端的显露明显优于左胸入路;保留自主呼吸的麻醉方式,则可以保证从右胸入路进行左主支气管手术时,左肺仍有通气,从而保证有效供氧,保证手术安全。
为保证手术顺利开展,胸外科团队进行了术前3D重建等详尽术前准备,并多次进行手术方案推演。

术前该病例气管三维重建图(图源:港大深圳医院胸外科)
03
极限操作,气管肿瘤根治性切除!
准备就绪后,手术如期进行。
此次手术由麻醉医学部许学兵主任主麻、胸外科庞大志主任主刀,邵广强医生、刘智海医生及刘茹太洋医生担任手术助手,手术按计划采取经右胸入路3D胸腔镜辅助方式进行。

庞大志主任及团队成员手术中
在3D胸腔镜的辅助下,手术团队精准游离,按预案充分显露气管隆突及左主支气管,在术中纤维支气管镜的引导下,对病变段的支气管进行了离断切除。
没承想肿瘤病变范围较术前预计更广,术后并发症风险增高,手术难度也较术前预计更高。
手术组医生扩大了切除范围,左主支气管最终切除长度已接近3.5cm公分长(一般气管切除长度达4cm公分就有接不上去的可能),几近极限!
所幸,最终送检的左主支气管切缘无肿瘤组织,达到R0根治性切除标准,随后手术组将远端支气管与隆突进行了吻合,顺利完成手术。

3D胸腔镜显露气管、右主支气管、气管隆突、左主支气管
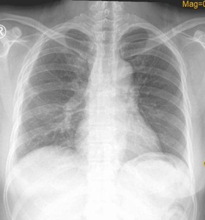
术后,小林转入普通病房观察,在胸外科医护密切观察及治疗下,小林恢复十分顺利,已于近日顺利出院。

术后顺利拔除引流管,复查胸片理想
气管肿瘤手术极其复杂,手术风险极高,很多胸外科医生不愿意触碰该类手术,目前全世界能开展保留自主呼吸非插管麻醉下气管重建手术的医学中心不多,国内更是屈指可数。
气管肿瘤手术极其复杂,手术风险极高,很多胸外科医生不愿意触碰该类手术,目前全世界能开展保留自主呼吸非插管麻醉下气管重建手术的医学中心不多,国内更是屈指可数。
庞大志主任具有丰富的气管重建、食管肿瘤、复杂纵隔肿瘤手术经验,而且团队成员之间配合非常默契,故对于开展此类手术拥有极大技术优势。
——香港大学深圳医院外科部-胸外科
刘智海医生
左主支气管肿瘤较为少见,手术入路各家不同,目前主要采取经左胸直接开放入路、经胸骨正中开胸入路或胸骨旁开放翻盖式入路,创伤大、显露差。
但我们创新性采用了保留自主呼吸的方式,左主支气管离断后,左肺仍有通气,在右胸进行手术时,仍能保证了有效供氧,保证了手术的安全。
——香港大学深圳医院外科部-胸外科主任
庞大志顾问医生
微信公众号
智慧医院



